1. 수두증이란?



뇌 안에 있는 뇌척수액(cerebrospinal fluid)이 있는데, 뇌척수액은 혈액에서 적혈구, 백혈구 세포들이 제거된 혈장과 같은 액체입니다.

뇌척수액은 뇌 안쪽에 있는 뇌실에서 만들어져 척수 주변 지주막하 공간을 순환하고, 뇌 아래 지주막하 공간을 지나 대뇌 표면 지주막하 공간으로 모인 후, 양 대뇌 반구 사이 상시상 정맥동 안으로 흡수되어 혈액으로 되돌아가며 순환합니다.
뇌척수액은 뇌를 충격으로부터 보호하는 완충 역할과 함께 두개강 내 압력을 분산하며, 영양분과 노폐물을 운반하는 역할도 하는 등 여러 가지 역할을 하는 것으로 알려져 있습니다.
그런데, 어떠한 원인에 의해 뇌실 내 뇌척수액의 순환로 일부가 막히면 뇌척수액이 두개강이나 척추강에 비정상적으로 축적이 되는데, 대부분의 경우 뇌압 상승으로 이어지며 이로 인한 증상과 뇌 발달의 장애를 일으키며, 뇌압이 급격히 상승할 경우, 생명에 위협을 줄 수도 있습니다.
그런데 수두증은 선천적인 뇌와 척수의 구조 이상과 연관되어 나타나는 경우가 많아서 소아에게 많이 발생하고, 뇌종양, 뇌출혈, 중추신경계 감염과 같은 후천적인 질병과 연관된 경우에는 성인에서도 나타나며, 노인에서는 미세한 뇌척수액 순환장애로 인하여 뇌압이 높아지지 않는 가운데 뇌척수액이 축적되는 독특한 형태의 수두증이 나타납니다.
2. 수두증의 증상


수두증은 연령에 따라 그 증상이 다양하게 나타납니다.
2세 이하의 소아는 두개골이 닫혀있지 않아 수두증이 진행될 경우, 머리의 둘레가 비정상적으로 커지는 모습을 보이게 되고, 대천문이 볼록하게 튀어나오거나, 아이가 구토를 하거나, 짜증을 많이 내는 모습을 보이며 계속해서 잠을 자는 경우도 있고, 눈이 아래로 처지거나 안쪽으로 모이는 모습을 보이기도 합니다.
조금 더 큰 소아는 주로 도통을 호소하는데, 두통은 특히 오전에 일어났을 때 심하며, 구토, 졸린 모습을 보이기도 하며, 취학 아동의 경우 성적이 떨어지고 이상 행동을 보이기도 합니다.
대부분의 경우에서 뇌압의 상승으로 이어지고, 이로 인한 증상과 뇌 발달의 장애를 일으킵니다.
뇌압이 급격히 상승할 경우, 생명에 위협을 줄 수도 있습니다.

뇌출혈, 뇌종양, 중추신경계 감염과 같은 후천적인 질병과 연관된 경우에는 소아뿐만 아니라 성인에서도 나타나고, 노인에서는 미세한 뇌척수액 순환장애로 인하여 뇌압이 높아지지 않는 가운데 뇌척수액이 축적되는 독특한 형태의 수두증이 나타납니다.
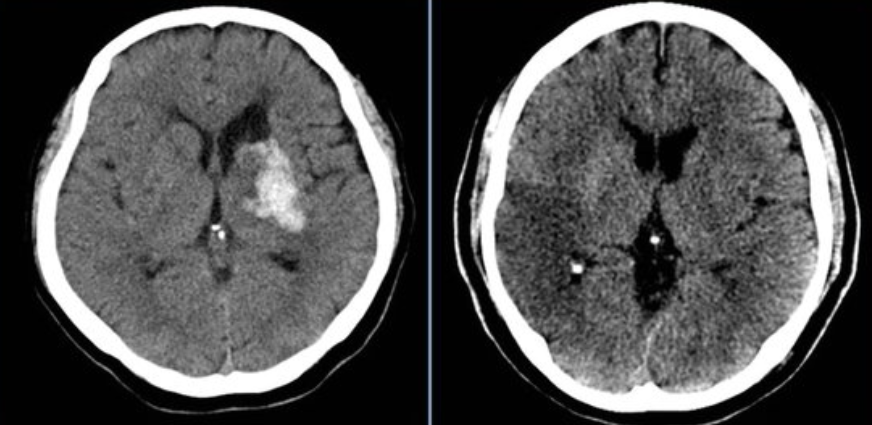
뇌출혈이나 매우 빨리 자라는 악성 뇌종양에 의한 급성 수두증은 급격한 뇌압 상승을 동반하는 매우 위험한 상황으로, 심한 두통, 구토가 나타나고, 의식저하, 팔다리 강직을 보이고 강직성 발작(hydrocephalic fit)을 보이기도 해서 빠른 치료를 요하게 됩니다.
수두증은 질환의 만성도에 따라 그 증상이 다르게 나타납니다.
뇌실이 급격히 확장하게 되면 두통, 오심, 구토, 시신경 유두 부종, 졸림, 코마 등의 증상을 보일 수 있고, 압력이 증가한 부위가 인접 부위 뇌를 밀어서 뇌간에 압력을 가하는 위험한 상황이 벌어질 수도 있습니다.
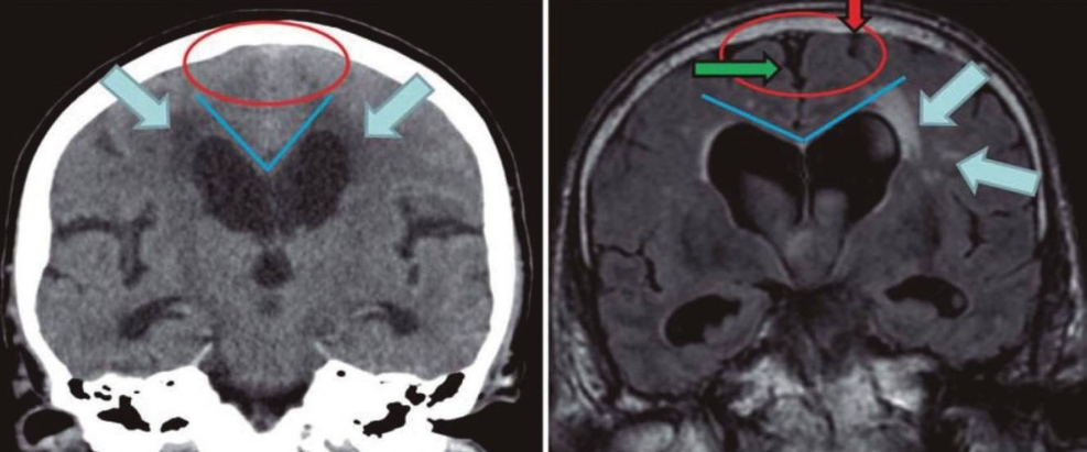
하지만, 노인에서와 같이 뇌실이 오랜 기간에 걸쳐 확장하게 되면 걸음걸이가 불안정하고, 요실금, 치매 등 특이적인 증상을 보이게 됩니다.
3. 치료



수두증은 비수술적 치료 방법은 없습니다.
뇌종양에 의하여 수두증이 생긴 경우에는 뇌종양을 제거하면 수두증이 해결되는 경우가 많지만, 종양의 종류에 따라 10~40%의 환자는 수두증이 지속되어 치료를 요하게 됩니다.
션트 수술은 뇌실 복강 단락술이라고도 하는데, 뇌실에 얇은 관을 두고 뇌척수액을 두피 아래로 뽑아내서 이어진 관을 통해 복강으로 보낸 후 복막을 통해 다시 몸에 흡수되도록 하는 수술인데, 중간에 밸브 장치를 설치하여 뇌압에 따라서 흐르는 뇌척수액의 양을 조절해줍니다.
과거에는 밸브 압력 수치를 조절하기 위해 재수술을 통해 밸브를 교체해주었으나, 최근에는 체외에서 조절 가능한 밸브가 개발됨에 따라 환자 상태에 따라 쉽게 압력을 조절할 수 있게 되었습니다.
션트 수술은 수두증에 대한 가장 기본적인 수술로, 내시경 제3뇌실 천공술은 비교통성 수두증에서 뇌실의 확장이 있을 때, 내시경을 통해 제3뇌실의 바닥을 뚫어 뇌실과 지주막하 공간 사이 소통을 만드는 방법으로, 션트 장치를 넣지 않고 뇌척수액 순환과정을 이용한다는 장점이 있지만 비교통성 수두증에서만 효과가 있으며, 뇌실의 크기가 어느 정도 커야 하며, 제3뇌실 바닥의 모양과 주변 혈관 구조물이 수술에 용이한 상태여야 하며, 만 1세 이상의 소아에서 시행해야 성공률이 높다는 제약이 있습니다.










'정보' 카테고리의 다른 글
| 국민연금 수령액 알아보기 (0) | 2022.09.04 |
|---|---|
| ESG 경영이란? (0) | 2022.09.04 |
| 공황장애 증상 원인 진단법 등 총정리 (0) | 2022.09.03 |
| 2022년 최저임금 월급계산 (0) | 2022.09.03 |
| 공무원 봉급표2022 (0) | 2022.09.01 |